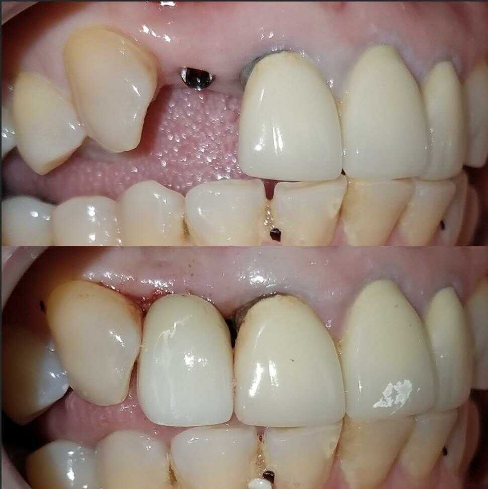
If you have a missing tooth, our dentist can give you a dental implant to help restore your oral functions. Dr. Gina Salatino will embed the implant into your jawbone, then help you decide on a restoration to cap it, so your speech and oral functions are restored. Call 916-771-7873 to schedule your appointment at Rockstar Family Dental and learn more about dental implants in Rocklin, California!





