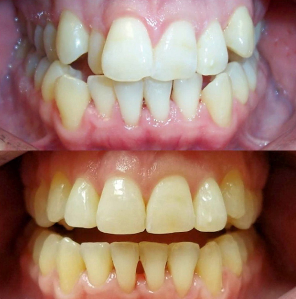
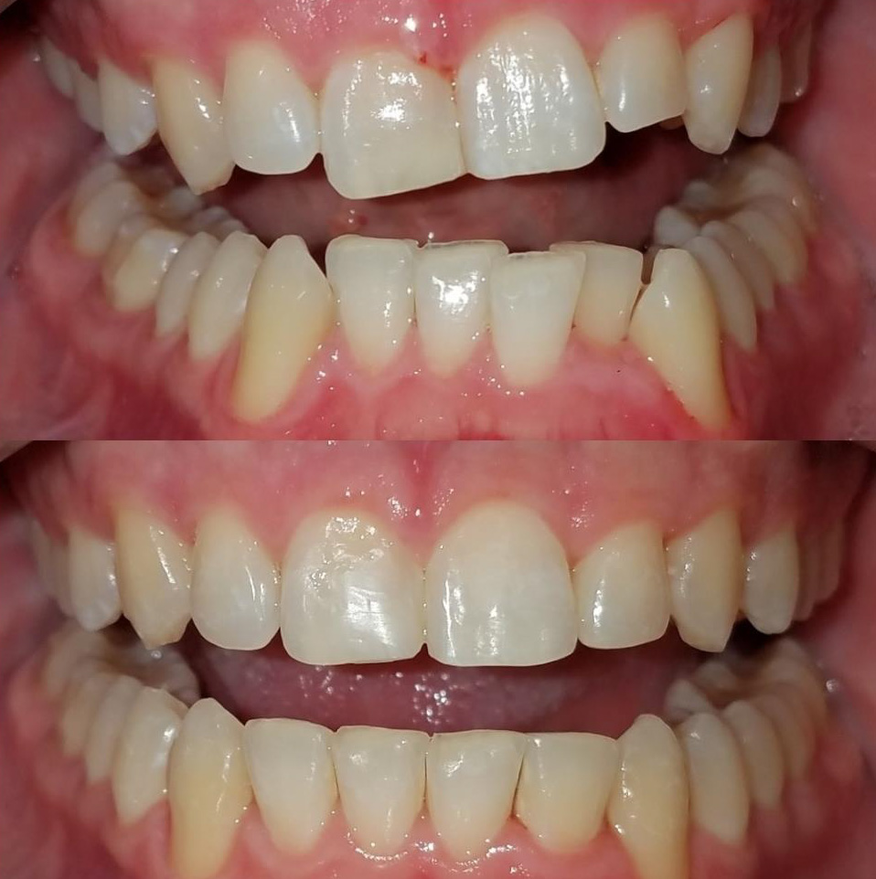
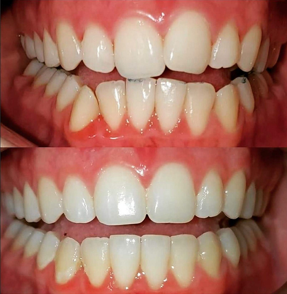
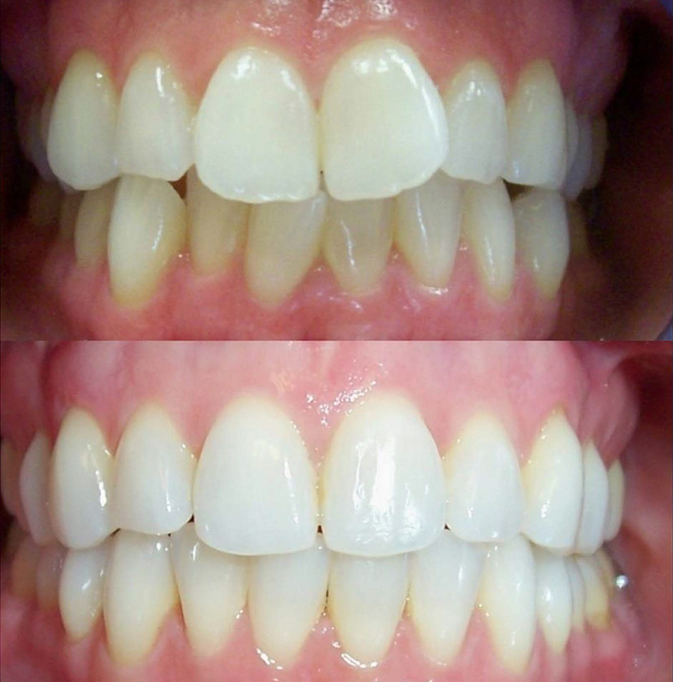
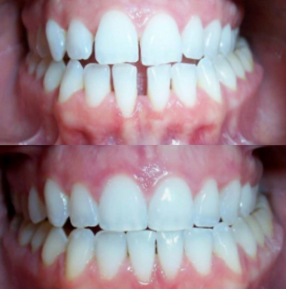
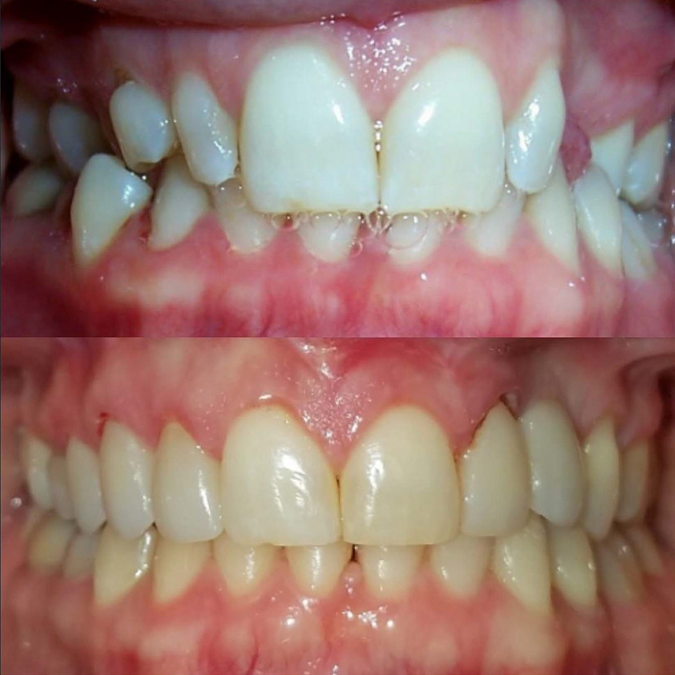
Dr. Gina Salatino is a Preferred Invisalign® Provider at Rockstar Family Dental and is proud to help straighten people’s smiles! If you are looking to straighten your teeth with a natural-looking treatment, our dentist can help. To learn more about clear aligners and how they can transform your smile, call 916-771-7873 to schedule a personal consultation about our Invisalign® services in Rocklin, California!









